
Slovenski vratar zagotovo izpušča povratno tekmo lige prvakov, pod velikim vprašajem tudi madridski derbi. Nogometaši Atletica Madrida so si na prvi tekmi osmine finala lige prvakov proti Tottenhamu sicer ustvarili … · Žurnal24 · 10h
jonas urbig sven ulreich fc bayern leonard prescott manuel neuer objavi tvitaj

Münchenski Bayern se je pred povratno tekmo osmine finala Lige prvakov znašel v nezavidljivem položaju. Na seznamu poškodovanih so se namreč znašli vsi štirje vratarji članske ekipe, kar bi lahko … · 24ur · 13h

Alisa se še danes spominja, kdaj jo je mož prvič poškodoval. Z bojišča na vzhodu Ukrajine se je vrnil na dopust, začel piti in postal agresiven. "Začel me je daviti. … · Dnevnik · 16h
ukrajinski vojaki posledice vojne vojna v ukrajini nasilje ženske objavi tvitaj

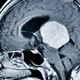
Britanec je leta spregledoval simptome, ki so kazali na tumor na možganih, dokler ga ni napad prisilil v nujno zdravljenje. Kot poroča index.hr , je 35-letni Craig Alexander več let … · Vizita.si · 1d
motnje vida vrtoglavica simptomi tumorja glavobol tumor na možganih objavi tvitaj

Nogometaši Bayerja iz Leverkusna tudi z dvema igralcema več niso uspeli streti vodilnega Bayerna v 26. krogu Bundeslige (1:1). Bavarci imajo še devet točk naskoka pred Borussio Dortmund. Farmacevti so … · RTV Slovenija · 2d
borussia bayern bundesliga bayer frankfurt objavi tvitaj

Norveški smučarski tekač Johannes Hosflot Klaebo, dobitnik šestih olimpijskih naslovov na letošnjih igrah Milano-Cortina, je v padcu na mestni tekmi svetovnega pokala v Drammnu utrpel "blag pretres možganov", so danes … · Sportklub · 3d
johannes hoesflot klaebo tek na smučeh miha šimenc linn svahn vili črv objavi tvitaj

Španec Juan Ayuso je ob zaključku lanske sezone sprožil veliko nemira v svetu kolesarstva, ko je razdrl dolgoročno pogodbo z moštvom UAE Emirates-XRG in se preselil k Lidl-Treku. Triindvajsetletni španski … · Dnevnik · 5d
juan ayuso uae emirates-xrg paul seixas jonas vingegaard lidl-trek kolesarstvo objavi tvitaj