
Je sploh možno dobiti potrdilo? Za zaščito pred opičjimi kozami - prvi primer te virusne bolezni so v začetku tedna potrdili tudi v Sloveniji - obstajata dve cepivi: cepivo, registrirano …
Žurnal24 · 3L

Če morajo okuženi z virusom opičjih koz, denimo zaradi obiska zdravnika, dom zapustiti za kratek čas, naj uporabljajo zaščitno masko in si kožne spremembe pokrijejo z oblačili, svetujejo na Nacionalnem …
Koroške novice · 3L

Na NIJZ so pripravili navodila za okužene z virusom opičjih koz, ki se zdravijo v domači oskrbi. Slednji naj ostanejo doma, omejijo stike in upoštevajo priporočila za preprečevanje širjenja bolezni …
Dnevnik · 3L
Na NIJZ so pripravili navodila za okužene z virusom opičjih koz, ki se zdravijo v domači oskrbi. Slednji naj ostanejo doma, omejijo stike in upoštevajo priporočila za preprečevanje širjenja bolezni …
Regional · 3L
opičje kozedomače živaliokuzbahigienapriporočilozaščitna maskatesni stiknijz

Na NIJZ so pripravili navodila za okužene z virusom opičjih koz, ki se zdravijo v domači oskrbi. Ti naj ostanejo doma, omejijo stike z domačimi iz istega gospodinjstva in naj …
24ur · 3L

Na NIJZ so pripravili navodila za okužene z virusom opičjih koz in njihove tesne stike. Na NIJZ so pripravili navodila za okužene z virusom opičjih koz, ki se zdravijo v …
Žurnal24 · 3L

V Sloveniji so doslej potrdili dva primera okužbe z virusom opičjih koz. Na Nacionalnem inštitutu za javno zdravje so pripravili navodila za okužene, ki se zdravijo v domači oskrbi, in …
Večer · 3L

Kot je znano, so v Sloveniji doslej potrdili dva primera okužbe z virusom opičjih koz, a je treba storiti vse, da se verige okužb čim prej prekineji. Pri Nacionalnem inštitutu …
Svet24 · 3L

Nacionalni institut za javno zdravje (NIJZ) je pripravil navodila za tiste, ki so se okužili z virusom opičjih koz in se zdravijo doma, pa tudi za tesne stike okuženih. Če …
RTV Slovenija · 3L

Klinični potek opičjih koz je običajno blag, so med drugim zapisali. Fotografija je simbolična Na NIJZ so pripravili navodila za okužene z virusom opičjih koz, ki se zdravijo v domači …
Maribor24 · 3L

Na NIJZ so pripravili navodila za okužene z virusom opičjih koz, ki se zdravijo v domači oskrbi. Slednji naj ostanejo doma, omejijo stike in upoštevajo priporočila za preprečevanje širjenja bolezni …
Siol.net · 3L

Opičje koze so doslej potrdili v 17 državah.
Slovenske novice · 3L

Opičje koze ? Teoretiki zarot so na delu. Ameriška frakcija za izbruh krivi pohlep Billa Gatesa . Kitajski skeptiki so prepričani, da so virus kot biološko orožje izdelali in v …
Mladina · 3L

V Evropi prvič veriga prenosov. V Sloveniji so potrdili drugi primer okužbe z virusom opičjih koz. Tudi tokrat gre za osebo, ki je pripotovala iz Španije, na svoji spletni strani …
Žurnal24 · 3L

Po svetu potrjenih več kot 200 primerov opičjih koz.
Slovenske novice · 3L

Število potrjenih primerov opičjih koz po svetu je po zadnjih podatkih Evropskega centra za preprečevanje in obvladovanje bolezni (ECDC) v sredo doseglo 219, in sicer zunaj enajstih afriških držav, kjer …
Primorske novice · 3L

V Sloveniji imamo do sedaj dva potrjena primera okužbe, oba sta prišla iz tujine. Koliko novih okužb lahko pričakujemo pri nas, ni znano. Število potrjenih primerov opičjih koz po svetu …
Metropolitan.si · 3L

Po podatkih Evropskega centra za preprečevanje in obvladovanje bolezni (ECDC) je bilo do srede potrjenih 219 primerov okužb opičjih koz, in sicer zunaj enajstih afriških držav, kjer je bolezen endemična. …
RTV Slovenija · 3L

Število potrjenih primerov opičjih koz po svetu je po zadnjih podatkih Evropskega centra za preprečevanje in obvladovanje bolezni (ECDC) v sredo doseglo 219, in sicer zunaj enajstih afriških držav, kjer …
24ur · 3L

Število potrjenih primerov opičjih koz po svetu je po zadnjih podatkih Evropskega centra za preprečevanje in obvladovanje bolezni (ECDC) v sredo doseglo 219, in sicer zunaj enajstih afriških držav, kjer …
Dnevnik · 3L

Največ potrjenih primerov je trenutno v Združenem kraljestvu. Sledita Španija in Portugalska, zunaj Evrope pa so največ primerov zabeležili v Kanadi in v ZDA. Število potrjenih primerov opičjih koz po …
Delo · 3L

Ključno za zaustavitev bolezni je upoštevanje zdravniških priporočil, pravi stroka. Bolezen opičjih koz se začne s povišano telesno temperaturo, glavobolom, bolečino v mišicah, povečanimi bezgavkami, izpuščaj se pojavi približno čez …
Maribor24 · 3L

Prvi primer opičjih koz smo potrdili tudi v Sloveniji. Gre za uvožen primer iz tujine, in sicer za moškega, ki je pripotoval s Kanarskih otokov, simptome pa je razvil šele …
24ur · 3L

Zakon ni zastarel, zastarela je bolezen, zato opičjih koz ni na seznamu prijavljivih bolezni. Epidemiologi in drugi strokovnjaki pričakujejo obvladljivo širjenje opičjih koz. V Sloveniji potrjen prvi primer
Večer · 3L
Svetovna zdravstvena organizacij (WHO) je do danes zabeležila 250 primerov opičjih koz v 16 državah, kjer ta bolezen ni endemična. V Evropi je zaenkrat najbolj prizadeta država Španija. Vir večjega …
Hudo.com · 3L

Svetovna zdravstvena organizacija (WHO) je do danes potrdila 250 primerov opičjih koz v 16 državah, kjer ta bolezen ni endemična. V Evropi je za zdaj najbolj prizadeta država Španija, kjer …
RTV Slovenija · 3L

Svetovna zdravstvena organizacija (WHO) je do danes zabeležila 250 primerov opičjih koz v 16 državah, kjer ta bolezen ni endemična. V Evropi je zaenkrat najbolj prizadeta država Španija. Vir večjega …
24ur · 3L
V Sloveniji je bil potrjen prvi primer opičjih koz pri moškem, ki se je vrnil s potovanja na Kanarskih otokih. Za obveščanje stikov so pri Nacionalnem inštitutu za javno zdravje …
Regional · 3L
črne kozeopičje kozebolezenokuzbahospitalizacijazaščitna maskacepivovirusnijzcepljenje

Gre za bolezen, ki se prenaša s tesnimi stiki in takrat, ko se pojavilo simptomi. Na Inštitutu za mikrobiologijo in imunologijo so včeraj prejeli vzorec prvega suma okužbe z virusom …
Žurnal24 · 3L

Prva država v Evropi uvedla karanteno. V Sloveniji so danes potrdili prvi primer opičjih koz, virusne bolezni o kateri v zadnjem mesecu poročajo iz več držav v Evropi in tudi …
Žurnal24 · 3L

Komaj smo opustili vsakdanje in že kar kavarniške debate o koronavirusu, že je tukaj nova zdravstvega grožnja – opičje koze. Te dni so na Nacionalnem inštitutu za javno zdravje (NIJZ) …
Moškisvet.com · 3L
mrzlicaopičje kozečrne kozeizbruh boleznimišicebolečinevročinanijzglavobolafrikazdravjecepivobolezniwho

V izjavi za javnost so strokovnjaki spregovorili o prvem potrjenem primeru okužbe z opičjimi kozami v Sloveniji. Pred mikrofon so stopili Mario Fafangel , predstojnik Centra za nalezljive bolezni na …
Metropolitan.si · 3L
mario fafangelopičje kozekapljična okužbahitro širjenjebolezensmrtonosna bolezentatjana lejko zupanctatjana avšič-župancmojca gobecpotrjena okužba v sloveniji

"Zdravstveno stanje bolnika, ki je simptome razvil po vrnitvi s Kanarskih otokov v Slovenijo, je dobro," je povedal predstojnik centra za nalezljive bolezni NIJZ Mario Fafangel V Sloveniji so pri …
Mladina · 3L

V Sloveniji so pri moškem potrdili prvi primer opičjih koz, so potrdili na Nacionalnem inštitutu za javno zdravje (NIJZ). Gre za uvožen primer s Kanarskih otokov, zdravstveno stanje bolnika, ki …
Primorske novice · 3L

Po včerajšnjem preverjanju suma okužbe z virusom opičjih koz so prvo okužbo potrdili tudi v Sloveniji.
Mariborinfo · 3L

V Sloveniji so pri moškem potrdili prvi primer opičjih koz, so potrdili na Nacionalnem inštitutu za javno zdravje (NIJZ). Gre uvožen primer s Kanarskih otokov, zdravstveno stanje bolnika, ki je …
Hudo.com · 3L

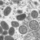
Po podatkih Svetovne zdravstvene organizacije opičje koze povzroča virus, soroden virusu, ki je kriv za bolezen črnih koz, ki je bila z globalno kampanjo cepljenja izkoreninjena leta 1980. Simptomi pri …
24ur · 3L

Bolj ogrožene so osebe, ki imajo več tesnih stikov. Slovenija ima prvi primer opičjih koz. Gre za moškega, ki je potoval iz tujine, in sicer iz Kanarskih otokov. Predstojnik Centra …
Maribor24 · 3L

Bolezen nima latentnega obdobja, kar pomeni, da si kužen enkrat, ko že imaš simptome in nisi kužen pred tem.
Večer · 3L

Opičje koze se širijo po Evropi. Prisotne naj bi bile tudi pri nas.
Slovenske novice · 3L

Opičje koze se širijo po Evropi. Prisotne naj bi bile tudi pri nas.
Slovenske novice · 3L

O okužbah z virusom opičjih koz in predvsem s tem povezanim aktualnim dogajanjem so za javnost danes spregovorili slovenski strokovnjaki. Po številnih drugih evropskih državah so včeraj prvi primer okužbe …
Svet24 · 3L
Okužbe z virusom opičjih koz so bile v zadnjem tednu zabeležene v Evropi, Severni Ameriki in Avstraliji. Kot kaže, pa imamo prvi primer tudi pri nas. Okužen naj bi bil …
Regional · 3L
david heymannopičje kozeandree ammonrosamund lewismojca gobecandy sealetatjana lejko zupancmario fafangelslovenijatatjana avšič-župancprvi primer

Po informacijah N1 so pristojnie institucije tudi v Sloveniji potrdile prvi primer opičjih koz. Zdaj je tudi uradno: Pri bolniku, za katerega so v ponedeljek posumili, da je zbolel za …
Žurnal24 · 3L

Gre za moškega, ki se je vrnil s Kanarskih otokov. Fotografija je simbolična. V Sloveniji so potrdili prvi primer opičjih koz. Po neuradnih informacijah gre za moškega, ki se je …
Maribor24 · 3L

V ponedeljek so v Sloveniji potrdili prvi primer opičjih koz. Okužen je moški, ki se je vrnil iz Kanarskih otokov. Zdravi se doma. Prva neuradna informacija se je pojavila v …
Dnevnik · 3L

Pri bolniku, za katerega so v ponedeljek posumili, da je zbolel za opičjimi kozami, so potrdili bolezen. Moški se je po informacijah spletnega portala N1 vrnil iz tujine, s Kanarskih …
Koroške novice · 3L

Simptomi pri okužbi so lahko blagi ali resni. Po informacijah N1 so v Sloveniji potrdili prvi primer opičjih koz. Bolnika v ponedeljek niso hospitalizirali na infekcijski kliniki v UKC Ljubljana, …
Metropolitan.si · 3L
opičje kozekapljična okužbahitro širjenjebolezensmrtonosna bolezenokužba v sloveniji

Foto: STA V ponedeljek popoldan naj bi po informacijah portala N1 na Inštitutu za mikrobiologijo in imunologijo preverjali prvi sum okužbe z virusom opičjih koz pri nas. Šlo naj bi …
Nova24TV · 3L

Izpuščaj je najbolj značilen znak bolezni, ki jo povzročajo virusi koz.
Večer · 3L

V Sloveniji so potrdili prvi primer opičjih koz, poroča N1. Šlo naj bi za moškega, ki se je vrnil s Kanarskih otokov. Več informacij bo podal Nijz v izjavi za …
24ur · 3L

Okužbo naj bi odkrili pri bolniku, ki je pripotoval s Kanarskih otokov. V Sloveniji so potrdili prvi primer okužbe z opičijmi kozami, poroča portal N1 . Več bo na novinarski …
Delo · 3L

Kot navaja N1 naj bi se sum pojavil pri moškem, ki se je vrnil iz tujine, vendar so informacije neuradne in nepotrjen. “ Tega ne morem komentirati,” je včeraj zvečer …
Koroške novice · 3L

Je virus že v Sloveniji? Foto: Wikipedia Na Inštitutu za mikrobiologijo in imunologijo naj bi v ponedeljek popoldne preverjali prvi sum okužbe z virusom opičjih koz v Sloveniji, poroča spletni …
Maribor24 · 3L

Šlo naj bi za moškega, ki se je vrnil iz tujine.
Slovenske novice · 3L

Portal N1 poroča, da so na Inštitutu za mikrobiologijo in imunologijo v ponedeljek popoldan preverjali prvi sum okužbe z virusom opičjih koz pri nas. Pojavil naj bi se pri moškem, …
Žurnal24 · 3L

Na inštitutu za mikrobiologijo in imunologijo naj bi včeraj preverjali prvi sum okužbe z virusom opičjih koz pri nas, piše spletni portal N1. Po neuradnih informacijah naj bi šlo za …
RTV Slovenija · 3L

Posamezne primere opičjih koz so zaznali v večini držav zahodn Evrope, tudi v Avstriji in na Hrvaškem, zato je le vprašanje časa, kdaj bo prvi primer potrjen tudi v Sloveniji. …
Svet24 · 3L

Ob vstopu v poletno sezono z množičnimi zborovanji, festivali in zabavami se lahko prenos bolezni pospeši. Po informacijah N1 so na Inštitutu za mikrobiologijo in imunologijo v ponedeljek popoldan preverjali …
Metropolitan.si · 3L
opičje kozekapljična okužbahitro širjenjebolezensmrtonosna bolezensum na okužbo v sloveniji

Na Inštitutu za mikrobiologijo in imunologijo naj bi v ponedeljek popoldan preverjali prvi sum okužbe z virusom opičjih koz v Sloveniji, poroča spletni portal N1. Šlo naj bi za moškega, …
Siol.net · 3L

Do sobote je bilo v laboratorijih po svetu potrjenih že 92 primerov opičjih koz, še 28 je bilo sumov na to bolezen, navaja Svetovna zdravstvena organizacija (WHO). Primeri so bili …
RTV Slovenija · 3L

Po svetu so doslej potrdili že skoraj sto primerov okužb s skrivnostnimi opičjimi kozami. Epidemiološke preiskave še tečejo, a nekaj je o bolezni že znanega. Do včeraj so v laboratorijih …
Maribor24 · 3L

Do sobote je bilo v laboratorijih po svetu potrjenih že 92 primerov opičjih koz, še 28 je bilo sumov na to bolezen, navaja Svetovna zdravstvena organizacija. Primeri so bili potrjeni …
24ur · 3L

Do sobote je bilo v laboratorijih po svetu potrjenih že 92 primerov opičjih koz, še 28 je bilo sumov na to bolezen, navaja Svetovna zdravstvena organizacija (WHO). Primeri so bili …
Dnevnik · 3L

Do sobote je bilo v laboratorijih po svetu potrjenih že 92 primerov opičjih koz, še 28 je bilo sumov na to bolezen, navaja Svetovna zdravstvena organizacija (WHO). Primeri so bili …
Primorske novice · 3L