
Kar 70 % odraslih ima vsaj enkrat v življenju težave s heksenšusom. Zakaj nastane in kako lahko ublažimo bolečino? Poznate tisto zoprno jutranjo bolečino v vratu, ki vam onemogoča obračanje … · Delo · 1M
advertorial kineziolog bolečine heksenšus kineziologija medicofit fizioterapevt fizioterapija noad objavi tvitaj

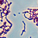
Število primerov se je povzpelo na 29. Poteka pospešeno cepljenje in zdravljenje z antibiotiki, ponekod cepiva že primanjkuje. Po izbruhu bakterijskega meningitisa B v Kentu v Canterburyju v Veliki Britaniji, … · Delo · 1M
velika britanija koronavirus meningitis b izbruh meningitisa bolezen objavi tvitaj

Po smrti 18-letne Juliette Kenny se v Združenem kraljestvu stopnjuje pritisk na oblasti, naj razširijo dostop do cepljenja proti meningitisu B. Število okužb namreč narašča, medtem ko je več kot … · Regional · 1M
velika britanija juliette kenny meningitis bolezen smrt objavi tvitaj

V Kentu, kjer beležijo nepojasnjen izbruh meningitisa, so močno razširili seznam upravičencev do brezplačnega cepljenja. Pred cepilnimi centri so se tako že v četrtek vile nepregledne kolone čakajočih, a vsi … · 24ur · 1M

Na majhnem območju Kenta so konec tedna zabeležili izjemno hiter izbruh meningitisa, ki ga strokovnjaki opisujejo kot neobičajnega in težko razložljivega. V zelo kratkem času so potrdili okoli 20 primerov, … · 24ur · 1M

Na Otoku narašča število domnevnih okužb z meningitisom – v Kentu jih tako preiskujejo že 20. Kot odgovor na najhitreje rastoči izbruh, kar ga je zaznala medicinska stroka, na tisoče … · 24ur · 1M

Žrtvi sta stari med 17 in 21 let, gre za študenta Univerze v Kentu in dijakinjo srednje šole Queen Elizabeth’s Grammar School v bližnjem Favershamu. Strokovnjaki so potrdili, da ta … · Dnevnik · 1M
cepljenje meningitis univerza kent velika britanija objavi tvitaj